Are you missing one or more teeth? Gaps in your smile can affect your confidence, speech, and ability to chew properly. At Gentle Dental Clinic, we offer custom dental bridges to restore your smile, bite function, and overall oral health. Our high-quality bridges are natural-looking, durable, and designed to blend seamlessly with your existing teeth.
Are you struggling with missing teeth? At Gentle Dental Clinic, we offer custom dental bridges to restore your smile, confidence, and oral health. Our high-quality, natural-looking bridges provide a comfortable and long-lasting solution for replacing missing teeth, helping you eat, speak, and smile with ease.

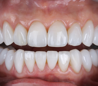
Missing teeth can affect your smile, speech, and chewing ability, but dental bridges offer a permanent, natural-looking solution. A dental bridge consists of artificial teeth (pontics) that are supported by your natural teeth or dental implants. This restores your bite function while preventing surrounding teeth from shifting.
Benefits of Dental Bridges:

Not all dental bridges are the same! Depending on your dental health, number of missing teeth, and jaw structure, you may need a specific type of bridge. At Gentle Dental Clinic, we provide the following options:
Types of Dental Bridges:

When replacing missing teeth, many people ask: Should I get a dental bridge or a dental implant? Here’s how they compare:
Dental Bridges:
Dental Implants:
If you have a missing tooth, our expertly crafted dental bridges offer the perfect balance of durability, aesthetics, and function. At Gentle Dental Clinic, we take pride in creating high-quality, long-lasting restorations that seamlessly integrate with your natural smile. Our team is committed to providing a stress-free, comfortable experience while helping you regain confidence, proper chewing function, and long-term oral health.
Book Appointment NowGot questions? We have answers
The process typically requires two to three visits over the course of a few weeks, depending on the type of bridge and any necessary preparatory treatments.
No, our bridge placement is designed to be comfortable and pain-free. We use local anesthesia to numb the area, and any mild soreness afterward can be managed with over-the-counter pain relievers.
Absolutely! Our custom dental bridges restore full chewing functionality, allowing you to eat comfortably without restrictions or difficulty.
Yes! Our high-quality porcelain and ceramic bridges are custom-designed to match the shape, size, and color of your natural teeth, ensuring a seamless and realistic appearance.